
임재성 교수는 서울대 의대와 동 대학원을 졸업한 후 서울시 보라매병원, 한림대학교 성심병원을 거쳐 현재 서울아산병원 신경과 교수로 재직중이다.
1. 개요
기억력 감퇴는 단순히 노화의 과정이 아닌, 조기에 발견하고 관리해야 할 질환이며 일차 진료 현장에서의 중요성이 강조된다. 이러한 기초적인 이해를 바탕으로, 최근 알츠하이머병(Alzheimer's disease, AD) 분야에서 일어나고 있는 혁명적인 변화, 즉 '최신지견'을 더하여 심화된 논의를 이어가고자 한다.
현재 알츠하이머병의 진단과 치료는 그야말로 격변의 시기를 지나고 있다. 과거 증상 중심의 진단에서 생체표지자(Biomarker)를 기반으로 한 '생물학적 진단'으로 패러다임을 전환하고 있으며, 증상 완화제를 넘어 질병의 경과를 바꾸는 질병조절치료제(Disease Modifying Therapies, DMT)가 임상 현장에 도입되고 있다. 본 원고는 DIAN 코호트 연구부터 최근 승인된 항아밀로이드 항체 치료제, 그리고 한국형 다중영역 중재 연구인 SUPERBRAIN에 이르기까지 방대한 최신 연구들을 종합하여, 기억력 감퇴를 다루는 임상의들에게 실질적인 가이드라인과 미래 전망을 제시하는 것을 목적으로 한다.
2. 진단: 증상에서 생물학적 증거로의 이동
2.1. 알츠하이머병의 자연경과와 생체표지자의 진화: DIAN 연구의 교훈
알츠하이머병은 증상이 나타나기 수십 년 전부터 뇌의 병리적 변화가 시작된다는 것이 정설로 받아들여지고 있다. 이를 가장 명확하게 입증한 연구 중 하나가 우성 유전 알츠하이머병 네트워크(Dominantly Inherited Alzheimer Network, DIAN)의 종단 연구 결과이다. 이 연구에 따르면, 임상 증상이 발현되기(estimated symptom onset) 무려 25년 전부터 뇌 내 아밀로이드 베타(Amyloid beta, Aβ)의 축적이 시작된다. (그림 1. 알츠하이머병 자연경과에 따른 바이오마커의 변화)

이후 순차적으로 뇌 내 타우 단백질의 과인산화가 나타나고, 뇌 대사 저하(FDG-PET)와 같은 신경세포의 기능 이상이 관찰되며, 해마 위축 등 구조적 변화는 기억력 저하 증상 발현 약 5~10년 전부터 가속화되는 것으로 나타났다. 이러한 발견은 알츠하이머병의 진단과 치료가 증상 발현 시점이 아닌, 그보다 훨씬 이른 전임상(Preclinical) 단계에서부터 고려되어야 함을 시사한다. 이는 또한 병리 단계에 따른 적절한 바이오마커의 선택이 중요함을 역설한다.
2.2. 알츠하이머병 진단 기준의 변화: 2024년 알츠하이머협회 개정안
이러한 생체표지자 연구의 발전은 진단 기준의 근본적인 변화를 이끌었다. 최근 발표된 2024년 알츠하이머협회(Alzheimer's Association)의 개정된 진단 및 병기 분류 기준은 질병을 임상 증후군이 아닌 '생물학적 과정'으로 정의한다. 즉, 증상이 없더라도 아밀로이드와 타우의 병리가 확인되면 알츠하이머병으로 진단할 수 있다는 것이다.
이 기준은 바이오마커를 Core 1과 Core 2로 구분한다. (표 1. 알츠하이머병 바이오마커 최신 분류)

Core 1 바이오마커는 아밀로이드 PET이나 CSF Aβ42/40 비율, 혹은 정확도가 검증된 혈장 p-tau217과 같이 질병의 초기 단계인 아밀로이드 병리를 반영하며, 이는 진단의 필수 조건이 된다. 반면 Core 2 바이오마커는 타우 PET이나 비인산화 타우 조각 등을 포함하며, 이는 질병의 진행 단계(Staging)와 예후를 판단하는 데 기여한다. 이러한 변화는 임상 현장에서 증상 호소 환자뿐만 아니라, 무증상 고위험군을 선별하고 조기에 개입할 수 있는 근거를 마련해주었다.
2.3. 영상 바이오마커의 발전: Amyloid PET과 Tau PET
아밀로이드 PET은 이제 알츠하이머병 진단의 'Gold Standard' 중 하나로 자리 잡았다. 특히 항아밀로이드 치료제의 대상자를 선정하는 데 있어 필수적인 도구이다. 아밀로이드 PET 양성 소견은 뇌 내 신경반(Neuritic plaque)의 존재를 시사하며, 이는 환자의 인지 저하 원인이 알츠하이머병 병리에 기인함을 강력하게 뒷받침한다. (그림 2. 아밀로이드 PET/CT 양성과 음성 사례)

최근 발표된 국내 치매 전문가 그룹의 아밀로이드 PET 적정 사용 권고안(2025)에 따르면, 이 검사는 객관적으로 확인된 인지 기능 저하가 있으면서 검사 결과가 진단의 확실성을 높이거나 치료 방침을 변경하는 데 기여할 것으로 판단될 때 시행하는 것이 원칙이다. 무엇보다 레카네맙과 같은 항아밀로이드 질병조절치료제의 처방을 위해서는 알츠하이머병의 병리적 근거인 아밀로이드 플라크의 존재를 확인해야 하므로, 경도인지장애나 경도 치매 단계의 초기 증상기 환자에게서 투약 대상을 선별하기 위한 목적으로 촬영이 권고된다. 또한, 임상 양상이 비전형적이거나 설명되지 않는 진행성 인지 저하를 보이는 경우, 발병 연령이 이른 조발성 치매가 의심되는 경우, 혹은 우울증이나 뇌혈관 질환 등 다른 동반 질환으로 인해 알츠하이머병 여부가 불확실한 경우에도 감별 진단을 위해 유용하게 활용될 수 있다. 다만, 객관적인 인지 저하가 없는 주관적 인지 저하 단계나 무증상 환자, 단순한 가족력 확인 목적, 혹은 치료 방침의 변화를 기대하기 어려운 중등도 이상의 치매 환자에게서 단순히 중증도를 평가하기 위한 목적으로는 권고되지 않는데, 이는 검사의 임상적 유용성과 비용 효율성을 종합적으로 고려한 결과이다.
최근에는 타우 PET의 임상적 의의도 커지고 있다. 아밀로이드가 질병의 시동을 건다면, 타우의 축적은 실제 신경세포의 사멸과 인지기능 저하의 중증도와 밀접하게 연관되어 있다. 최신 권고안(Appropriate Use Criteria)에 따르면, 타우 PET은 질병의 병기를 설정하고 예후를 예측하는 데 유용하며, 특히 레카네맙이나 도나네맙과 같은 치료제의 효과를 예측하거나 투약 중단을 결정하는 데 보조적인 지표로 활용될 가능성이 있다.
2.4. 혈액 바이오마커(Blood-based Biomarkers)의 혁신
고가의 PET 검사나 침습적인 뇌척수액 검사의 한계를 극복하기 위해 혈액 바이오마커 개발이 가속화되고 있다. 그중에서도 혈장 p-tau217 (Phosphorylated Tau 217)은 아밀로이드 PET 결과와 높은 일치율을 보이며, 알츠하이머병 병리를 감지하는 데 탁월한 성능을 입증했다. 최근 연구들은 p-tau217이 CSF 검사나 PET에 버금가는 정확도로 알츠하이머병을 선별할 수 있음을 보여주며, 일차 진료 현장에서의 선별 검사로서의 가능성을 높이고 있다. 이외에도 혈장 Aβ42/40 비율, GFAP (Glial Fibrillary Acidic Protein), NfL (Neurofilament Light Chain) 등이 신경염증이나 신경손상을 반영하는 지표로서 복합적으로 활용될 수 있다.
2.5. 유전자 검사의 필수화: APOE 유전형
과거 APOE 유전자 검사가 단순히 발병 위험을 예측하는 보조적 수단이었다면, 항아밀로이드 치료제 시대에는 필수적인 검사 항목이 되었다. APOE ε4 대립유전자는 아밀로이드 관련 영상 이상(ARIA)의 발생 위험을 높이는 주요 인자이다. 특히 ε4 동형접합자(Homozygote)의 경우 이형접합자나 비보인자에 비해 ARIA 발생 빈도가 현저히 높기 때문에, 치료 시작 전 유전자 검사를 통해 환자의 위험도를 계층화하고 면밀한 모니터링 계획을 수립해야 한다. 또한 PSEN1, PSEN2, APP 유전자 변이는 조발성 가족성 알츠하이머병을 진단하는 데 여전히 중요한 의미를 가진다.
2.6. 디지털 바이오마커와 IoT 기술의 접목
진단의 영역은 이제 혈액이나 뇌척수액과 같은 생물학적 검체를 넘어, 디지털 기술을 활용한 데이터 분석의 영역으로 급격히 확장되고 있다. 기존의 MMSE(Mini-Mental State Examination)나 MoCA(Montreal Cognitive Assessment)와 같은 전통적인 지필 검사는 검사자의 숙련도에 따라 결과가 달라질 수 있고, 환자의 당일 컨디션이나 ‘백의 고혈압’과 같은 심리적 요인에 영향을 받는다는 한계가 있었다. 이를 극복하기 위해 등장한 것이 태블릿이나 스마트폰을 활용한 디지털 인지 검사 도구들이다. 이러한 디지털 검사 도구들은 표준화된 알고리즘을 통해 객관적이고 정량화된 데이터를 제공하며, 특히 최근 급부상하고 있는 혈액 바이오마커와 결합했을 때 강력한 시너지를 발휘한다. 디지털 도구를 이용해 일차적으로 인지 저하 가능성을 민감하게 선별(Screening)하고, 이후 혈액 검사를 통해 생물학적 병리를 확인(Confirmation)하는 이단계 진단 모델은 진단의 정확도와 효율성을 획기적으로 높일 수 있다. 이는 고가의 영상 검사나 침습적인 검사에 앞서, 지역 사회나 일차 진료 현장에서도 전문 클리닉 수준의 정밀한 진단적 접근이 가능해짐을 시사한다.
나아가 사물인터넷(IoT) 기술의 발전은 환자가 의식적으로 검사에 임하지 않는 상황에서도 질병의 징후를 포착하는 ‘수동적 모니터링(Passive Monitoring)’을 가능케 하고 있다. 스마트폰이나 웨어러블 기기에 내장된 센서를 통해 수집되는 보행 속도의 변화, 수면 패턴의 불규칙성, 그리고 스마트 기기 사용 패턴의 변화 등은 인지 저하가 시작되기 전 나타나는 미세한 신경학적 징후일 수 있다. 또한, 시선 추적(Eye tracking) 기술을 통해 기억력 과제 수행 중의 동공 반응을 분석하거나, 음성 데이터(Voice biomarker)를 분석하여 발화 속도, 단어 선택의 다양성 등을 측정하는 기술들도 임상적 유효성을 입증해 나가고 있다. 이러한 디지털 바이오마커들은 기존의 일회성 내원 검사가 놓칠 수 있는 인지기능의 미세한 변동성을 일상생활 속에서 연속적으로 포착함으로써, 기존 진단 체계의 사각지대를 보완하는 핵심적인 역할을 수행할 것으로 전망된다.
3. 치료: 질병 조절과 다중 영역 중재의 융합
3.1. 항아밀로이드 항체 치료제: 레카네맙과 도나네맙
알츠하이머병 치료의 가장 큰 화두는 단연 뇌 내 아밀로이드 플라크를 제거하는 항체 치료제의 등장이다. 레카네맙(Lecanemab)과 도나네맙(Donanemab)은 대규모 3상 임상시험을 통해 초기 알츠하이머병 환자(경도인지장애 및 초기 치매)에서 인지기능 저하 속도를 통계적으로 유의하게 지연시키는 효과를 입증했다.
레카네맙은 가용성 아밀로이드 프로토피브릴(Protofibril)을 표적으로 하며, Clarity AD 연구에서 위약군 대비 임상치매척도-박스총점(CDR-SB) 악화를 27% 지연시켰다. (그림 3. 레카네맙의 효과 - 3상 임상시험 결과)

이는 환자가 독립적인 생활을 유지할 수 있는 기간을 연장시킨다는 점에서 임상적 의미가 크다. 도나네맙은 아밀로이드 플라크 자체(insoluble N-truncated pyroglutamate Aβ [N3pE-Aβ])를 표적으로 하며, TRAILBLAZER-ALZ 2 연구에서 타우 축적이 적거나 중간 정도인 환자군에서 35%의 인지 저하 지연 효과를 보였다. 특히 도나네맙은 아밀로이드가 충분히 제거되면 투약을 중단할 수 있는 'Treat-to-clear' 개념을 도입하여 비용 효율성과 환자 편의성을 고려한 접근을 제시했다.
주목할 점은 이러한 치료제의 효과가 투약을 시작하는 병의 단계에 따라 환자의 삶에 미치는 영향이 달라질 수 있다는 것이다. 최근 Hartz 등의 연구(2025)에 따르면, CDR-SB와 일상생활 수행능력(Activities of Daily Living) 간의 상관관계를 모델링했을 때, 비교적 초기인 CDR-SB 2.0점 시점에서 레카네맙이나 도나네맙 치료를 시작할 경우 도구적 일상생활능력(IADL)의 독립성을 유지하는 기간이 약 10~13개월 연장되는 것으로 추정되었다. 반면, 병이 조금 더 진행된 CDR-SB 3.5점 시점에서 치료를 시작할 경우, 독립성 유지 기간의 연장 효과는 4~5개월로 줄어드는 것으로 나타났다. 이는 단순히 통계적인 지연 효과를 넘어, 환자가 가족의 도움 없이 독립적인 삶을 영위할 수 있는 실질적인 시간을 확보하기 위해서는 조기 진단과 즉각적인 치료 개입이 필수적임을 시사한다.
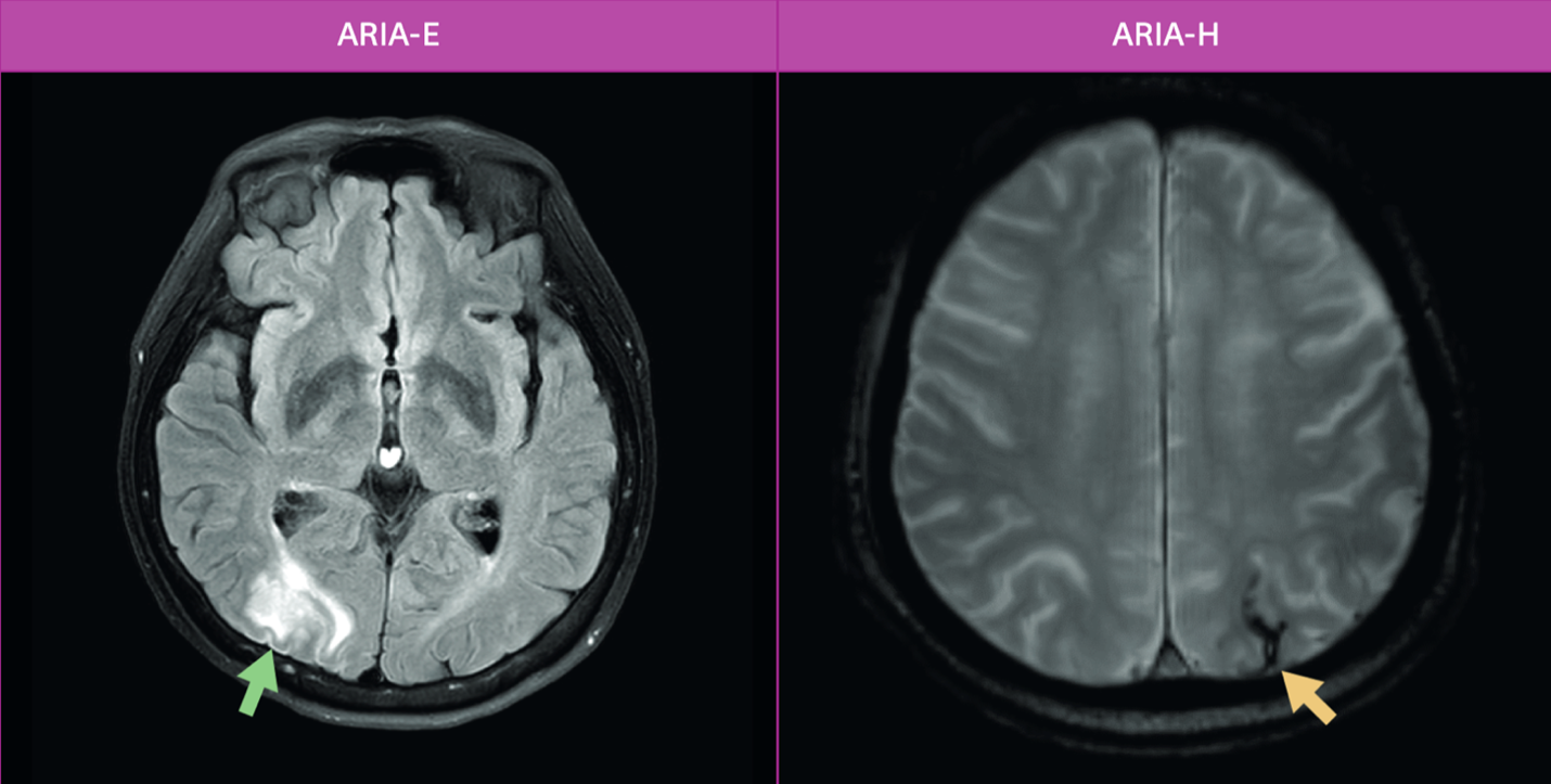
그러나 이러한 치료제들은 한계와 부작용 또한 명확하다. 가장 주된 부작용은 ARIA(Amyloid-Related Imaging Abnormalities)로, 뇌부종(ARIA-E)이나 미세출혈(ARIA-H) 형태로 나타난다. (그림 4. ARIA-E와 ARIA-H 사례)

이는 대부분 무증상이지만 드물게 심각한 신경학적 증상을 유발할 수 있어 정기적인 MRI 모니터링이 필수적이다. 대한치매학회의 최신 권고안에 따르면, 치료 전 뇌 MRI를 통해 출혈 위험이 높은 병변 여부를 확인하고, 항응고제 사용자나 최근 1년 이내 뇌경색 병력이 있는 환자에게는 투약을 피하는 등 치료 여부를 신중히 결정해야 한다. 또한 고가의 약제비와 주사제 투여를 위한 인프라 구축(주입 센터, MRI 판독 전문성 등)은 실제 임상 도입의 장벽으로 작용하고 있다. 미국 워싱턴 대학의 실제 임상 적용 사례(Real-world data)는 이러한 치료가 전문 클리닉 내 체계적인 프로토콜 하에 안전하게 수행될 수 있음을 보여주지만, 동시에 상당한 의료 자원이 소모됨을 시사한다.
3.2. 비약물적 치료의 확장: 디지털 치료제와 다중 영역 중재
약물 치료의 한계를 보완하고 치료 효과를 극대화하기 위한 비약물적 접근으로 디지털 치료제(Digital Therapeutics, DTx)와 다중 영역 중재가 주목받고 있다. 먼저, 디지털 치료제는 인지 중재 치료를 기반으로 한 소프트웨어 의료기기로, 국내에서는 '슈퍼브레인(Superbrain)'과 '코그테라(Cogthera)' 등이 대표적으로 임상 현장 진입을 시도하고 있다. 이러한 DTx는 가정에서 시공간의 제약 없이 지속적인 인지 훈련을 가능하게 하며, 환자의 수행 데이터를 실시간으로 분석해 맞춤형 난이도를 제공한다는 장점이 있다. 비록 수가 적용이나 장기적 효능 입증과 같은 과제가 남아있으나, 약물 부작용 우려가 있거나 병원 방문이 어려운 환자들에게 유망한 대안이 될 것으로 기대된다.
이러한 기술적 진보와 더불어, 알츠하이머병이 단일 원인이 아닌 다양한 위험 인자의 복합적 작용으로 발생한다는 점에 착안한 '다중 영역 중재' 또한 필수적인 치료 전략으로 자리 잡고 있다. 이를 입증한 기념비적인 연구가 핀란드의 FINGER(Finnish Geriatric Intervention Study to Prevent Cognitive Impairment and Disability) 연구이다. 이 연구는 치매 위험 인자를 가진 60~77세 노인을 대상으로 식이요법, 신체 운동, 인지 훈련, 혈관 위험 인자 관리의 네 가지 영역을 동시에 중재하였다. 2년간의 추적 관찰 결과, 다중 영역 중재군은 일반적인 건강 조언만 받은 대조군에 비해 전반적인 인지기능 점수(NTB total score)가 25% 더 높게 개선되었다. 세부적으로는 실행 기능(executive functioning)에서 83%, 정보 처리 속도(processing speed)에서 150% 더 높은 개선 효과를 보여, 다중 영역 중재가 뇌의 인지적 예비능을 유지하고 기능을 향상시키는 데 강력한 효과가 있음을 입증하였다. 이는 특정 단일 요인의 조절보다는 위험 인자들의 동시다발적인 관리가 인지기능 저하 예방의 핵심임을 시사하며, 전 세계 예방 가이드라인의 표준 모델이 되고 있다.
4. 맺음말
기억력 감퇴의 진단과 치료는 이제 '모호함'에서 '정밀함'으로 나아가고 있다. DIAN 연구와 개정된 진단 기준은 알츠하이머병을 생물학적으로 정의하게 했으며, 혈액 바이오마커는 진단의 문턱을 낮추고 있다. 레카네맙과 같은 질병조절치료제의 등장은 치료 불가능했던 영역에 희망을 주었으나, ARIA와 같은 안전성 관리라는 새로운 과제를 안겨주었다. 동시에 다중 영역 중재는 약물 이외의 생활습관 관리가 뇌 건강을 지키는 강력한 무기임을 증명했다. 임상의는 이러한 최신 지견을 통합하여 환자 개개인의 병리 상태와 위험 요인에 맞춘 최적의 '정밀 의료'를 제공해야 할 시점이다.
| 인기기사 | 더보기 + |
| 1 | 에스티큐브 유승한 미국대표 “넬마스토바트 2상, 연내 핵심 데이터 확보” |
| 2 | "약사가 직접 만들었다"…프리미엄 스킨케어 '비브랩' 출사표 |
| 3 | 보고에서 평가로…식약처, 시판 후 안전관리 ‘근본 전환’ 선언 |
| 4 | 온코크로스, ASCO 2026 초록 채택…RAPTOR AI 기반 췌장암 병용요법 임상 주목 |
| 5 | 약가 깎이고 원가 치솟고…'사면초가' 제약업계, 파괴적 혁신으로 돌파해야 |
| 6 | 리센스메디컬, 코스닥 상장…정밀냉각 기술 글로벌 무대 '비상' |
| 7 | “단일 파이프라인 시대 끝” 제약바이오, 플랫폼·공동개발만이 살 길 |
| 8 | “비만, 숫자가 아니다”…BMI 넘어선 ‘임상적 비만’ 시대 |
| 9 | 일동제약, ‘비아그라’ 등 비뇨기계 치료제 4품목 독점 유통·판매 |
| 10 | [인터뷰] “미국 진출 K-뷰티, 브랜드 ‘철학’ 있어야 롱런” |
| 인터뷰 | 더보기 + |
| PEOPLE | 더보기 + |
| 컬쳐/클래시그널 | 더보기 + |

임재성 교수는 서울대 의대와 동 대학원을 졸업한 후 서울시 보라매병원, 한림대학교 성심병원을 거쳐 현재 서울아산병원 신경과 교수로 재직중이다.
1. 개요
기억력 감퇴는 단순히 노화의 과정이 아닌, 조기에 발견하고 관리해야 할 질환이며 일차 진료 현장에서의 중요성이 강조된다. 이러한 기초적인 이해를 바탕으로, 최근 알츠하이머병(Alzheimer's disease, AD) 분야에서 일어나고 있는 혁명적인 변화, 즉 '최신지견'을 더하여 심화된 논의를 이어가고자 한다.
현재 알츠하이머병의 진단과 치료는 그야말로 격변의 시기를 지나고 있다. 과거 증상 중심의 진단에서 생체표지자(Biomarker)를 기반으로 한 '생물학적 진단'으로 패러다임을 전환하고 있으며, 증상 완화제를 넘어 질병의 경과를 바꾸는 질병조절치료제(Disease Modifying Therapies, DMT)가 임상 현장에 도입되고 있다. 본 원고는 DIAN 코호트 연구부터 최근 승인된 항아밀로이드 항체 치료제, 그리고 한국형 다중영역 중재 연구인 SUPERBRAIN에 이르기까지 방대한 최신 연구들을 종합하여, 기억력 감퇴를 다루는 임상의들에게 실질적인 가이드라인과 미래 전망을 제시하는 것을 목적으로 한다.
2. 진단: 증상에서 생물학적 증거로의 이동
2.1. 알츠하이머병의 자연경과와 생체표지자의 진화: DIAN 연구의 교훈
알츠하이머병은 증상이 나타나기 수십 년 전부터 뇌의 병리적 변화가 시작된다는 것이 정설로 받아들여지고 있다. 이를 가장 명확하게 입증한 연구 중 하나가 우성 유전 알츠하이머병 네트워크(Dominantly Inherited Alzheimer Network, DIAN)의 종단 연구 결과이다. 이 연구에 따르면, 임상 증상이 발현되기(estimated symptom onset) 무려 25년 전부터 뇌 내 아밀로이드 베타(Amyloid beta, Aβ)의 축적이 시작된다. (그림 1. 알츠하이머병 자연경과에 따른 바이오마커의 변화)

이후 순차적으로 뇌 내 타우 단백질의 과인산화가 나타나고, 뇌 대사 저하(FDG-PET)와 같은 신경세포의 기능 이상이 관찰되며, 해마 위축 등 구조적 변화는 기억력 저하 증상 발현 약 5~10년 전부터 가속화되는 것으로 나타났다. 이러한 발견은 알츠하이머병의 진단과 치료가 증상 발현 시점이 아닌, 그보다 훨씬 이른 전임상(Preclinical) 단계에서부터 고려되어야 함을 시사한다. 이는 또한 병리 단계에 따른 적절한 바이오마커의 선택이 중요함을 역설한다.
2.2. 알츠하이머병 진단 기준의 변화: 2024년 알츠하이머협회 개정안
이러한 생체표지자 연구의 발전은 진단 기준의 근본적인 변화를 이끌었다. 최근 발표된 2024년 알츠하이머협회(Alzheimer's Association)의 개정된 진단 및 병기 분류 기준은 질병을 임상 증후군이 아닌 '생물학적 과정'으로 정의한다. 즉, 증상이 없더라도 아밀로이드와 타우의 병리가 확인되면 알츠하이머병으로 진단할 수 있다는 것이다.
이 기준은 바이오마커를 Core 1과 Core 2로 구분한다. (표 1. 알츠하이머병 바이오마커 최신 분류)

Core 1 바이오마커는 아밀로이드 PET이나 CSF Aβ42/40 비율, 혹은 정확도가 검증된 혈장 p-tau217과 같이 질병의 초기 단계인 아밀로이드 병리를 반영하며, 이는 진단의 필수 조건이 된다. 반면 Core 2 바이오마커는 타우 PET이나 비인산화 타우 조각 등을 포함하며, 이는 질병의 진행 단계(Staging)와 예후를 판단하는 데 기여한다. 이러한 변화는 임상 현장에서 증상 호소 환자뿐만 아니라, 무증상 고위험군을 선별하고 조기에 개입할 수 있는 근거를 마련해주었다.
2.3. 영상 바이오마커의 발전: Amyloid PET과 Tau PET
아밀로이드 PET은 이제 알츠하이머병 진단의 'Gold Standard' 중 하나로 자리 잡았다. 특히 항아밀로이드 치료제의 대상자를 선정하는 데 있어 필수적인 도구이다. 아밀로이드 PET 양성 소견은 뇌 내 신경반(Neuritic plaque)의 존재를 시사하며, 이는 환자의 인지 저하 원인이 알츠하이머병 병리에 기인함을 강력하게 뒷받침한다. (그림 2. 아밀로이드 PET/CT 양성과 음성 사례)

최근 발표된 국내 치매 전문가 그룹의 아밀로이드 PET 적정 사용 권고안(2025)에 따르면, 이 검사는 객관적으로 확인된 인지 기능 저하가 있으면서 검사 결과가 진단의 확실성을 높이거나 치료 방침을 변경하는 데 기여할 것으로 판단될 때 시행하는 것이 원칙이다. 무엇보다 레카네맙과 같은 항아밀로이드 질병조절치료제의 처방을 위해서는 알츠하이머병의 병리적 근거인 아밀로이드 플라크의 존재를 확인해야 하므로, 경도인지장애나 경도 치매 단계의 초기 증상기 환자에게서 투약 대상을 선별하기 위한 목적으로 촬영이 권고된다. 또한, 임상 양상이 비전형적이거나 설명되지 않는 진행성 인지 저하를 보이는 경우, 발병 연령이 이른 조발성 치매가 의심되는 경우, 혹은 우울증이나 뇌혈관 질환 등 다른 동반 질환으로 인해 알츠하이머병 여부가 불확실한 경우에도 감별 진단을 위해 유용하게 활용될 수 있다. 다만, 객관적인 인지 저하가 없는 주관적 인지 저하 단계나 무증상 환자, 단순한 가족력 확인 목적, 혹은 치료 방침의 변화를 기대하기 어려운 중등도 이상의 치매 환자에게서 단순히 중증도를 평가하기 위한 목적으로는 권고되지 않는데, 이는 검사의 임상적 유용성과 비용 효율성을 종합적으로 고려한 결과이다.
최근에는 타우 PET의 임상적 의의도 커지고 있다. 아밀로이드가 질병의 시동을 건다면, 타우의 축적은 실제 신경세포의 사멸과 인지기능 저하의 중증도와 밀접하게 연관되어 있다. 최신 권고안(Appropriate Use Criteria)에 따르면, 타우 PET은 질병의 병기를 설정하고 예후를 예측하는 데 유용하며, 특히 레카네맙이나 도나네맙과 같은 치료제의 효과를 예측하거나 투약 중단을 결정하는 데 보조적인 지표로 활용될 가능성이 있다.
2.4. 혈액 바이오마커(Blood-based Biomarkers)의 혁신
고가의 PET 검사나 침습적인 뇌척수액 검사의 한계를 극복하기 위해 혈액 바이오마커 개발이 가속화되고 있다. 그중에서도 혈장 p-tau217 (Phosphorylated Tau 217)은 아밀로이드 PET 결과와 높은 일치율을 보이며, 알츠하이머병 병리를 감지하는 데 탁월한 성능을 입증했다. 최근 연구들은 p-tau217이 CSF 검사나 PET에 버금가는 정확도로 알츠하이머병을 선별할 수 있음을 보여주며, 일차 진료 현장에서의 선별 검사로서의 가능성을 높이고 있다. 이외에도 혈장 Aβ42/40 비율, GFAP (Glial Fibrillary Acidic Protein), NfL (Neurofilament Light Chain) 등이 신경염증이나 신경손상을 반영하는 지표로서 복합적으로 활용될 수 있다.
2.5. 유전자 검사의 필수화: APOE 유전형
과거 APOE 유전자 검사가 단순히 발병 위험을 예측하는 보조적 수단이었다면, 항아밀로이드 치료제 시대에는 필수적인 검사 항목이 되었다. APOE ε4 대립유전자는 아밀로이드 관련 영상 이상(ARIA)의 발생 위험을 높이는 주요 인자이다. 특히 ε4 동형접합자(Homozygote)의 경우 이형접합자나 비보인자에 비해 ARIA 발생 빈도가 현저히 높기 때문에, 치료 시작 전 유전자 검사를 통해 환자의 위험도를 계층화하고 면밀한 모니터링 계획을 수립해야 한다. 또한 PSEN1, PSEN2, APP 유전자 변이는 조발성 가족성 알츠하이머병을 진단하는 데 여전히 중요한 의미를 가진다.
2.6. 디지털 바이오마커와 IoT 기술의 접목
진단의 영역은 이제 혈액이나 뇌척수액과 같은 생물학적 검체를 넘어, 디지털 기술을 활용한 데이터 분석의 영역으로 급격히 확장되고 있다. 기존의 MMSE(Mini-Mental State Examination)나 MoCA(Montreal Cognitive Assessment)와 같은 전통적인 지필 검사는 검사자의 숙련도에 따라 결과가 달라질 수 있고, 환자의 당일 컨디션이나 ‘백의 고혈압’과 같은 심리적 요인에 영향을 받는다는 한계가 있었다. 이를 극복하기 위해 등장한 것이 태블릿이나 스마트폰을 활용한 디지털 인지 검사 도구들이다. 이러한 디지털 검사 도구들은 표준화된 알고리즘을 통해 객관적이고 정량화된 데이터를 제공하며, 특히 최근 급부상하고 있는 혈액 바이오마커와 결합했을 때 강력한 시너지를 발휘한다. 디지털 도구를 이용해 일차적으로 인지 저하 가능성을 민감하게 선별(Screening)하고, 이후 혈액 검사를 통해 생물학적 병리를 확인(Confirmation)하는 이단계 진단 모델은 진단의 정확도와 효율성을 획기적으로 높일 수 있다. 이는 고가의 영상 검사나 침습적인 검사에 앞서, 지역 사회나 일차 진료 현장에서도 전문 클리닉 수준의 정밀한 진단적 접근이 가능해짐을 시사한다.
나아가 사물인터넷(IoT) 기술의 발전은 환자가 의식적으로 검사에 임하지 않는 상황에서도 질병의 징후를 포착하는 ‘수동적 모니터링(Passive Monitoring)’을 가능케 하고 있다. 스마트폰이나 웨어러블 기기에 내장된 센서를 통해 수집되는 보행 속도의 변화, 수면 패턴의 불규칙성, 그리고 스마트 기기 사용 패턴의 변화 등은 인지 저하가 시작되기 전 나타나는 미세한 신경학적 징후일 수 있다. 또한, 시선 추적(Eye tracking) 기술을 통해 기억력 과제 수행 중의 동공 반응을 분석하거나, 음성 데이터(Voice biomarker)를 분석하여 발화 속도, 단어 선택의 다양성 등을 측정하는 기술들도 임상적 유효성을 입증해 나가고 있다. 이러한 디지털 바이오마커들은 기존의 일회성 내원 검사가 놓칠 수 있는 인지기능의 미세한 변동성을 일상생활 속에서 연속적으로 포착함으로써, 기존 진단 체계의 사각지대를 보완하는 핵심적인 역할을 수행할 것으로 전망된다.
3. 치료: 질병 조절과 다중 영역 중재의 융합
3.1. 항아밀로이드 항체 치료제: 레카네맙과 도나네맙
알츠하이머병 치료의 가장 큰 화두는 단연 뇌 내 아밀로이드 플라크를 제거하는 항체 치료제의 등장이다. 레카네맙(Lecanemab)과 도나네맙(Donanemab)은 대규모 3상 임상시험을 통해 초기 알츠하이머병 환자(경도인지장애 및 초기 치매)에서 인지기능 저하 속도를 통계적으로 유의하게 지연시키는 효과를 입증했다.
레카네맙은 가용성 아밀로이드 프로토피브릴(Protofibril)을 표적으로 하며, Clarity AD 연구에서 위약군 대비 임상치매척도-박스총점(CDR-SB) 악화를 27% 지연시켰다. (그림 3. 레카네맙의 효과 - 3상 임상시험 결과)

이는 환자가 독립적인 생활을 유지할 수 있는 기간을 연장시킨다는 점에서 임상적 의미가 크다. 도나네맙은 아밀로이드 플라크 자체(insoluble N-truncated pyroglutamate Aβ [N3pE-Aβ])를 표적으로 하며, TRAILBLAZER-ALZ 2 연구에서 타우 축적이 적거나 중간 정도인 환자군에서 35%의 인지 저하 지연 효과를 보였다. 특히 도나네맙은 아밀로이드가 충분히 제거되면 투약을 중단할 수 있는 'Treat-to-clear' 개념을 도입하여 비용 효율성과 환자 편의성을 고려한 접근을 제시했다.
주목할 점은 이러한 치료제의 효과가 투약을 시작하는 병의 단계에 따라 환자의 삶에 미치는 영향이 달라질 수 있다는 것이다. 최근 Hartz 등의 연구(2025)에 따르면, CDR-SB와 일상생활 수행능력(Activities of Daily Living) 간의 상관관계를 모델링했을 때, 비교적 초기인 CDR-SB 2.0점 시점에서 레카네맙이나 도나네맙 치료를 시작할 경우 도구적 일상생활능력(IADL)의 독립성을 유지하는 기간이 약 10~13개월 연장되는 것으로 추정되었다. 반면, 병이 조금 더 진행된 CDR-SB 3.5점 시점에서 치료를 시작할 경우, 독립성 유지 기간의 연장 효과는 4~5개월로 줄어드는 것으로 나타났다. 이는 단순히 통계적인 지연 효과를 넘어, 환자가 가족의 도움 없이 독립적인 삶을 영위할 수 있는 실질적인 시간을 확보하기 위해서는 조기 진단과 즉각적인 치료 개입이 필수적임을 시사한다.
그러나 이러한 치료제들은 한계와 부작용 또한 명확하다. 가장 주된 부작용은 ARIA(Amyloid-Related Imaging Abnormalities)로, 뇌부종(ARIA-E)이나 미세출혈(ARIA-H) 형태로 나타난다. (그림 4. ARIA-E와 ARIA-H 사례)

이는 대부분 무증상이지만 드물게 심각한 신경학적 증상을 유발할 수 있어 정기적인 MRI 모니터링이 필수적이다. 대한치매학회의 최신 권고안에 따르면, 치료 전 뇌 MRI를 통해 출혈 위험이 높은 병변 여부를 확인하고, 항응고제 사용자나 최근 1년 이내 뇌경색 병력이 있는 환자에게는 투약을 피하는 등 치료 여부를 신중히 결정해야 한다. 또한 고가의 약제비와 주사제 투여를 위한 인프라 구축(주입 센터, MRI 판독 전문성 등)은 실제 임상 도입의 장벽으로 작용하고 있다. 미국 워싱턴 대학의 실제 임상 적용 사례(Real-world data)는 이러한 치료가 전문 클리닉 내 체계적인 프로토콜 하에 안전하게 수행될 수 있음을 보여주지만, 동시에 상당한 의료 자원이 소모됨을 시사한다.
3.2. 비약물적 치료의 확장: 디지털 치료제와 다중 영역 중재
약물 치료의 한계를 보완하고 치료 효과를 극대화하기 위한 비약물적 접근으로 디지털 치료제(Digital Therapeutics, DTx)와 다중 영역 중재가 주목받고 있다. 먼저, 디지털 치료제는 인지 중재 치료를 기반으로 한 소프트웨어 의료기기로, 국내에서는 '슈퍼브레인(Superbrain)'과 '코그테라(Cogthera)' 등이 대표적으로 임상 현장 진입을 시도하고 있다. 이러한 DTx는 가정에서 시공간의 제약 없이 지속적인 인지 훈련을 가능하게 하며, 환자의 수행 데이터를 실시간으로 분석해 맞춤형 난이도를 제공한다는 장점이 있다. 비록 수가 적용이나 장기적 효능 입증과 같은 과제가 남아있으나, 약물 부작용 우려가 있거나 병원 방문이 어려운 환자들에게 유망한 대안이 될 것으로 기대된다.
이러한 기술적 진보와 더불어, 알츠하이머병이 단일 원인이 아닌 다양한 위험 인자의 복합적 작용으로 발생한다는 점에 착안한 '다중 영역 중재' 또한 필수적인 치료 전략으로 자리 잡고 있다. 이를 입증한 기념비적인 연구가 핀란드의 FINGER(Finnish Geriatric Intervention Study to Prevent Cognitive Impairment and Disability) 연구이다. 이 연구는 치매 위험 인자를 가진 60~77세 노인을 대상으로 식이요법, 신체 운동, 인지 훈련, 혈관 위험 인자 관리의 네 가지 영역을 동시에 중재하였다. 2년간의 추적 관찰 결과, 다중 영역 중재군은 일반적인 건강 조언만 받은 대조군에 비해 전반적인 인지기능 점수(NTB total score)가 25% 더 높게 개선되었다. 세부적으로는 실행 기능(executive functioning)에서 83%, 정보 처리 속도(processing speed)에서 150% 더 높은 개선 효과를 보여, 다중 영역 중재가 뇌의 인지적 예비능을 유지하고 기능을 향상시키는 데 강력한 효과가 있음을 입증하였다. 이는 특정 단일 요인의 조절보다는 위험 인자들의 동시다발적인 관리가 인지기능 저하 예방의 핵심임을 시사하며, 전 세계 예방 가이드라인의 표준 모델이 되고 있다.
4. 맺음말
기억력 감퇴의 진단과 치료는 이제 '모호함'에서 '정밀함'으로 나아가고 있다. DIAN 연구와 개정된 진단 기준은 알츠하이머병을 생물학적으로 정의하게 했으며, 혈액 바이오마커는 진단의 문턱을 낮추고 있다. 레카네맙과 같은 질병조절치료제의 등장은 치료 불가능했던 영역에 희망을 주었으나, ARIA와 같은 안전성 관리라는 새로운 과제를 안겨주었다. 동시에 다중 영역 중재는 약물 이외의 생활습관 관리가 뇌 건강을 지키는 강력한 무기임을 증명했다. 임상의는 이러한 최신 지견을 통합하여 환자 개개인의 병리 상태와 위험 요인에 맞춘 최적의 '정밀 의료'를 제공해야 할 시점이다.