뷰노, '뷰노메드 체스트 엑스레이' 태국 식약청 판매허가 획득
AI 기반 흉부 엑스레이 판독 보조 솔루션 태국 허가 획득…아시아 사업 강화
입력 2022.06.10 11:23
인쇄하기 메일로 보내기 스크랩하기
작게보기 크게보기

뷰노(대표 이예하)는 자사 인공지능 기반 흉부 엑스레이 영상 판독 보조 솔루션 뷰노메드 체스트 엑스레이(VUNO Med-Chest X-ray)가 태국 식약청(Thailand FDA)으로부터 의료기기 판매허가를 획득했다고 10일 밝혔다.
 
태국의 의료기기 시장은 아세안(ASEAN) 최대 규모로, 정부의 적극적인 지원과 투자를 바탕으로 빠르게 성장하고 있다. 시장 규모는 2024년 22억 달러에 달할 것으로 예상되며 연평균 성장률은 6.1%로 전망되고 있다. 태국 정부는 고령화와 코로나19 팬데믹 상황에서 국가 경쟁력 확대를 위한 12대 미래산업 중 하나로 헬스케어 산업을 선정하고 다양한 육성책을 제시하고 있다.
 
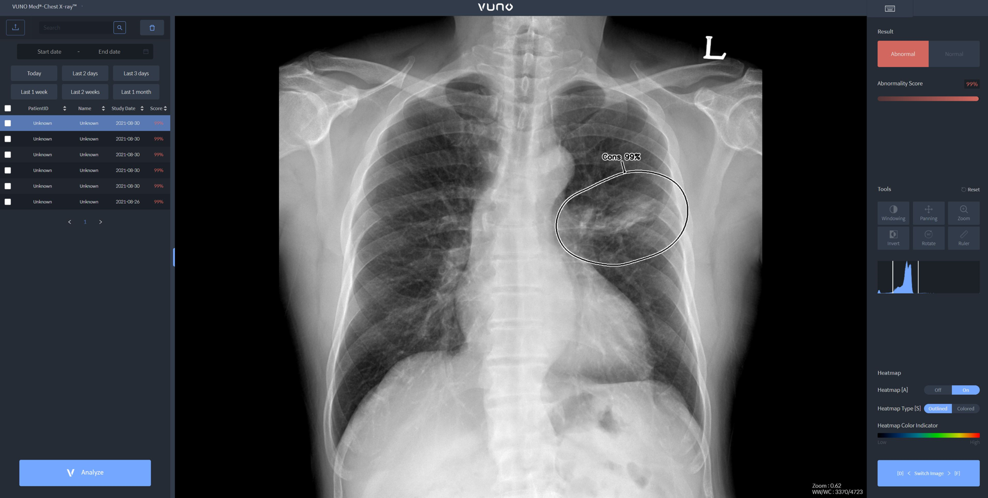
이번 태국 허가를 획득한 뷰노메드 체스트 엑스레이는 흉부 엑스레이 영상에서 결절, 경화, 간질성 음영, 흉수, 기흉 등 주요 이상소견을 높은 정확도로 탐지하는 인공지능 솔루션이다. 의료진에게 이상소견의 소견명과 위치를 제시해 결핵, 폐렴 등 주요 폐 질환 진단을 돕는다.
 
해당 솔루션은 영상의학 학술지인 Radiology에 게재된 임상연구에서 높은 판독 정확도와 효율성을 입증한 바 있다. 국내외 주요 중대형병원에서 활발하게 사용되며 임상적 가치가 검증된 주요 제품 중 하나다.
 
이예하 뷰노 대표는 “이번 태국 허가 획득은 일본, 대만, 말레이시아 등에 이어 뷰노의 아시아 의료 시장 진출을 가속화하는 성과로서 큰 의미를 갖는다”라며 “앞으로도 세계적인 의료 학술지뿐 아니라 국내외 다양한 임상현장에서 실제로 쓰이며 임상적 가치를 입증해 온 뷰노메드 솔루션의 해외 시장 확대를 위해 적극적인 사업 활동에 매진하겠다”고 말했다.
전체댓글 0
    등록된 댓글이 없습니다.
인기기사 더보기 +
인터뷰 더보기 +
[영상] 아리바이오, ‘먹는 치매약’ 시대를 연다… AR1001 글로벌 임상 3상 ‘부각’
이주혁 대표 “소아 희귀안질환, 신생아 선별검사·첨단재생의료 해법”
내과계 중환자실 ASP 실증 분석…병원약사 개입 '효과 입증'
약업신문 타이틀 이미지
[산업]뷰노, '뷰노메드 체스트 엑스레이' 태국 식약청 판매허가 획득
아이콘 개인정보 수집 · 이용에 관한 사항 (필수)
  - 개인정보 이용 목적 : 콘텐츠 발송
- 개인정보 수집 항목 : 받는분 이메일, 보내는 분 이름, 이메일 정보
- 개인정보 보유 및 이용 기간 : 이메일 발송 후 1일내 파기
받는 사람 이메일
* 받는 사람이 여러사람일 경우 Enter를 사용하시면 됩니다.
* (최대 5명까지 가능)
보낼 메세지
(선택사항)
보내는 사람 이름
보내는 사람 이메일
@
Copyright © Yakup.com All rights reserved.
약업신문 의 모든 컨텐츠(기사)는 저작권법의 보호를 받습니다.
무단 전재·복사·배포 등을 금지합니다.
약업신문 타이틀 이미지
[산업]뷰노, '뷰노메드 체스트 엑스레이' 태국 식약청 판매허가 획득
이 정보를 스크랩 하시겠습니까?
스크랩한 정보는 마이페이지에서 확인 하실 수 있습니다.
Copyright © Yakup.com All rights reserved.
약업신문 의 모든 컨텐츠(기사)는 저작권법의 보호를 받습니다.
무단 전재·복사·배포 등을 금지합니다.